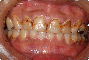
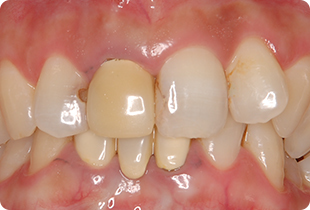
審美歯科|西神南駅で歯科をお探しの方はよしえ歯科・矯正歯科まで
審美歯科|西神南駅で歯科をお探しの方はよしえ歯科・矯正歯科まで
サイト内ページ
診療内容
お知らせ
12月27日(土)・29日(月)は院内研修のため休診とさせていただきます。
12月30日(火)~1月4日(日)は年末年始の休診とさせていただきます。
※1月5日(月)は10時からの診療となります。
8月13日(水)~15日(金)は夏季休診とさせていただきます。
4月3日(木)は研修のため、休診とさせていただきます。
3月1日(土)は臨時休診とさせていただきます。
12月29日(日)~1月5日(日)は年末年始休診とさせていただきます。